Tous savoir sur l’adénome de la prostate.
Quelles sont les causes de l’hypertrophie de la prostate ?
L’adénome de la prostate ou hypertrophie bénigne de la prostate (HBP) est la cause principale de...
Chirurgie de l’adénome de la prostate: préserver l’éjaculation c’est possible.
Il n’y a pas si longtemps, les patients n’avaient pas vraiment le choix et le trouble de...
Quel bilan réaliser avant d’opérer un patient d’un adénome de la prostate?
La chirurgie de l’HBP est l’une des plus fréquentes en urologie en France avec 60000 actes...
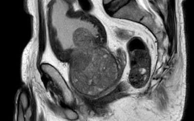
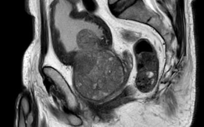
Le traitement chirurgical des volumineux adénomes prostatiques en 2021.
Le traitement chirurgical d'un gros adénome de la prostate a évolué. Quelles sont les nouvelles...
Tous savoir sur le cancer de la prostate
Comprendre le Cancer de la Prostate et le Score de Gleason : Un Guide Essentiel pour les Hommes
Le cancer de la prostate est l'un des cancers les plus répandus chez les hommes. Sa détection...
Comprendre et Gérer le Cancer de la Prostate Découvert Fortuitement après une Chirurgie de l’Adénome : Le Guide du Patient pour 2026
Chers lecteurs, Le diagnostic d'un cancer est toujours une épreuve, et lorsqu'il survient de...
Déroulement et role de l’IRM prostatique
L'IRM de la Prostate : Déroulement de l'Examen et Son Rôle dans le Diagnostic de la Prostatite et...
Tous savoir sur la dysfonction érectile
La Dysfonction Érectile et Vitaros : Une Alternative au traitement par voie orale.
La dysfonction érectile est un trouble assez courant qui impacte la qualité de vie de nombreux hommes à travers le monde. Alors que divers...
Dysfonction érectile et problèmes de prostate : Existe-t-il un lien ?
Souvent perçus comme deux problèmes distincts, la dysfonction érectile (DE) et les troubles de la prostate concernent de nombreux hommes, surtout...
La vie avec une prothèse pénienne gonflable: questions fréquentes.
Lorsque tous les traitements médicamenteux ont échoués, il ne reste plus qu'une solution: la pose d'une prothèse pénienne gonflable...
Tous savoir sur l’incontinence masculine
Aucun résultat
La page demandée est introuvable. Essayez d'affiner votre recherche ou utilisez le panneau de navigation ci-dessus pour localiser l'article.








